 
		Tartar vs. Plaque: What’s the Difference and How to Get Rid of It?
May 28, 2025
Hi there! Let’s talk about something that affects us all but often gets overlooked—plaque and tartar. Understanding these two dental nuisances is key to maintaining a healthy, bright smile.
What’s the Deal with Plaque?
Plaque is that sticky, colourless film that constantly forms on our teeth.  This is a mix of food particles and saliva, creating a playground for bacteria. If not brushed and flossed away daily, plaque can lead to tooth decay and gum disease. Think of it as the uninvited guest at your dental party—it shows up every time!
And Tartar?
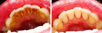
If plaque is left to fester, it hardens into tartar (also known as calculus). Tartar is a crusty deposit that bonds strongly to the enamel of your teeth. Unlike plaque, you can’t remove tartar with brushing and flossing alone; it requires a professional touch. This is where your friendly dentist in Southampton comes in.
Why Should You Care?
Tartar is more than just an aesthetic issue; it’s a health concern. Its rough surface provides a perfect environment for further plaque accumulation, leading to more serious issues like gum disease and cavities. Plus, tartar can cause unsightly stains, making your teeth appear discoloured.
Keeping Plaque and Tartar at Bay
Here’s how you can maintain your oral health and avoid plaque and tartar:
1.	Brush Regularly: Twice a day with fluoride toothpaste keeps plaque from settling in.
2. Floss Daily: It reaches the nooks and crannies your toothbrush can’t.
3. Watch Your Diet: Sugary and starchy foods feed plaque-producing bacteria.
4. Regular Dental Check-ups: Professional cleanings are essential to remove tartar and keep your oral health in check.

If you’re in Southampton and looking for a dentist in Southampton to help keep your smile in top shape, we’re here for you. Regular visits to your dental clinic in Poole are important in preventing tartar buildup and maintaining overall oral health. Our site allows you to search for a dentist near you, who specialises or provides the treatment you’re after! We’ve vetted each individual so you don’t have to.
We hope you’ve found this blog informative, we at Smile Circle have enjoyed sharing all of our knowledge with you!
If you’d like to find a dentist near you in Hampshire that you can trust, please feel free to use our free online dentist search tool! You can read reviews, about the dentist and their practice before getting in touch to schedule your appointment!
Head over to smilecircle.com for more information, dental plans, a dental team, and resources. See you there!

 
           Head Office - UK - Unit 1 B 132 Weyhill Road, Andover, Hampshire England, SP10 2PR.
 Head Office - UK - Unit 1 B 132 Weyhill Road, Andover, Hampshire England, SP10 2PR. 
 
 







